
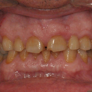
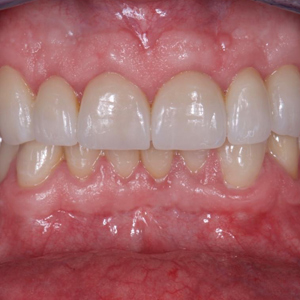
Implants
The best way to replace a lost tooth is with a dental implant! Count on our skilled periodontists to restore your smile with high-quality dental implants.
At Nu Dentistry Houston, our family dentist team provides you with high-quality dental care to keep your smile at its best

The best way to replace a lost tooth is with a dental implant! Count on our skilled periodontists to restore your smile with high-quality dental implants.
Picture-perfect smiles are here to replace your discolored, damaged, chipped, and uneven teeth. We provide veneers, braces, bonding, and teeth whitening as aesthetic procedures.


Gum disease, damaged and chipped teeth, toothaches, and more... Our emergency dentist provides prompt, effective dental care to help you quickly restore the health of your smile.
Don't worry about having crowded or misaligned teeth anymore! With Invisalign, you may quickly and effectively straighten your smile without the unsightliness or pain of conventional bracket braces.


Does your dental anxiety make it challenging to schedule dentist appointments? With dental sedation, you can fully relax in the dental chair and get the expert treatments you need.
Using porcelain veneers, you may completely transform your smile and reveal your best dazzling whites. At our dental practice, stains, cracks, chips, crookedness, and uneven teeth are all no issue at all!


If you are looking for a dental team that really puts your dental health first, give our Houston, TX office a call
At Nu Dentistry, we recognize your hectic schedule and take every precaution to make your visit as easy as possible. We take care of all the little details for you beginning with the minute you walk through our doors and check in. We take pride in keeping the time you spend in the dentist's chair as brief as possible without sacrificing any of our attention to detail. Our company is committed to putting patients first! In other words, at Nu Dentistry, YOU come first, and we promise that you'll be completely satisfied with our committed, individualized service. We sincerely believe that dentists should not only be exceptional at what they do, but also as accessible and accommodating as possible for their patients. You never have to put off your visits or come in during the week because we are open on Saturday.
We’re here for your smile with exceptional dental care and our own friendly smiles

Dr. Ali Tameemi, DDS understands what it takes to be a great dentist. Dr. Tameemi graduated with a Bachelor of Dental Surgery. After graduation, he did a residency at a VA hospital in North Carolina, and he later earned his DDS from the University of Texas Health Science Center at San Antonio School of Dentistry.

With gentle hands and a patient smile, Dr. Samir Alrajab is a master dentist who always puts his patients first. He earned his D.M.D. and is a licensed dentist in the state of Texas. He has been honored for his excellence in prosthodontics and is a member of the American Dental Association.
..jpg)
Dr. Ehab, a prominent dentist born and raised in Berkeley, California, has established a noteworthy career following his academic achievements at the University of Texas Health Science Center, where he completed his dental education and an Advanced Education in General Dentistry (AEGD) residency.

As a graduate of the elite University of Texas Health Science center, Doctor Darius learned to personalize all treatment by using traditional and advanced procedures, with evidence-based results and the understanding that every patient’s is unique and at times a special touch is needed in order to have the best results.

Dr. Chih Hui Lee began his career as a paramedic in Chicago before transitioning into dentistry. He trained as a dental technician at Louisiana State University School of Dentistry, later earning a Master of Science in Cell and Molecular Biology from Tulane University and a DDS from LSU. Dr. Lee is a Fellow of both the Academy of General Dentistry and the International Congress of Oral Implantologists.

Our dental hygienists are committed to helping you maintain a healthy, radiant smile. With expertise in advanced hygiene techniques and a dedication to patient education, they ensure every visit is thorough, gentle, and tailored to your unique needs. Click below to meet our exceptional team.

Have your best dental experience every time
Believe it or not, you can enjoy your time in the dental chair! At Nu Dentistry Houston, modern technology in our dental office ensures your treatment is successful long-term and gives you a fantastic dental experience. We provide safe and comfortable dental sedation in addition to conventional local anesthetic to keep you at ease throughout your treatment. Additionally, every patient suite is private and comes with a host of modern conveniences, such as televisions, Bluetooth headphones, and a number of streaming channels. While we work hard, you may relax and watch your favorite programs or listen to your playlists.
Our dentists provide an incredible dental experience you won't forget
At Nu Dentistry, we recognize your hectic schedule and take every precaution to make your visit as easy as possible. We take care of all the little details for you beginning with the minute you walk through our doors and check in. We take pride in keeping the time you spend in the dentist's chair as brief as possible without sacrificing any of our attention to detail. Our company is committed to putting patients first! In other words, at Nu Dentistry, YOU come first, and we promise that you'll be completely satisfied with our committed, individualized service. We sincerely believe that dentists should not only be exceptional at what they do, but also as accessible and accommodating as possible for their patients. You never have to put off your visits or come in during the week because we are open on Saturday. Give our office a call if you're seeking for a dental staff that truly prioritizes your oral health.
Seeing the dentist has never been more enjoyable
Our state-of-the-art facility is equipped with the newest technology not only for our personnel but also for you. Due to the privacy of each unit, you are able to utilize all of the great amenities there. Enjoy some time with us while watching Netflix or YouTube on one of the room's two screens, whether you're here for basic cleaning or a significant treatment. With these Bluetooth headphones, you may watch without interruption and forget about procedure noise. We firmly think that visiting the dentist should never be a frightening experience, and we make every effort to make even the most complex procedures as calming and uncomfortable as possible. We use a variety of methods and tools, like Dentapen and DentalVibe, to lessen any discomfort you may experience, even while administering anaesthetic for the first time. Patients who are anxious about their appointments should know that we go above and beyond to put you at ease. You will always be safe and comfortable throughout your operations because to the advanced training our dentists get in a variety of anaesthetic and sedative techniques. We are always delighted to address any queries or worries.
NU DENTISTRY, Houston, TEXAS
Tight schedules can make it tricky at the best of times to visit your dentist. At Nu Dentistry Houston, we make the most of your time with us. Our dentists strive to make things as easy, convenient, and stress-free as possible for our patients. As soon as you walk through our doors, we’re ready to take care of the nitty-gritty details, so you’re in and out of our dentist office quickly.
Your needs come first. We make every effort to offer full-service dental treatment that assures you never need a referral or to find a specialist at a reasonable price right here in our office. Furthermore, a fantastic dentist isn't merely distinguished by the quality of their services. Your background is important, too. Your visit will be comfortable, painless, and pleasurable because to our dentists' gentle, skilled treatment, cutting-edge dental technology, and warm personalities. In order to better accommodate your hectic schedule, our dental clinic is open on Saturdays as well. If you need a team that always puts your dental health first, then we're the right place! Call (832) 930-7738 today to schedule an appointment.












See what a visit to our modern, state-of-the-art dentist office is like!
Monday 9am - 6pm
Wednesday 9am - 6pm
Friday 9am - 6pm
Saturday 9am - 3pm
Check out what our patients are saying in Houston, TX
We are proud members of these dental organizations and accreditations
We are dedicated to providing you with only the best quality dental care
