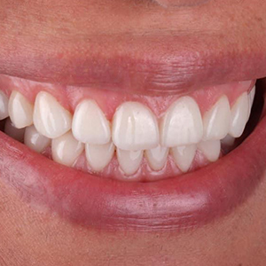
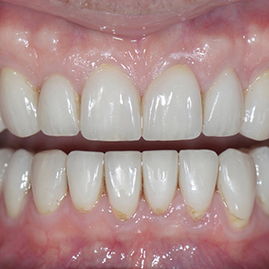
Our skilled dentists at Nu Dentistry Houston know the trick to a stunning, natural smile. Although we certainly put a lot of effort into making your smile gleam, cosmetic dentistry for us is about more than simply the outcomes. We understand the importance of the time you spend in the dentist chair. Our center has the newest methods and equipment to ensure that your treatments are consistently effective, cozy, and painless. In order to make your stay with us delightful and as peaceful as possible, we also integrate conveniences like streaming televisions and headphones in the designs of our patient suites. When you come to our clinic, we want you to feel at ease.
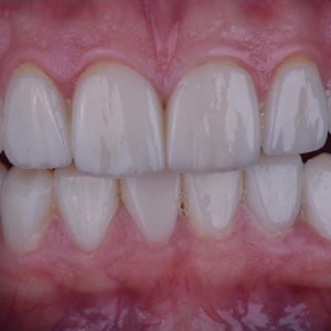
Working with a dental team you can trust is essential if you're considering getting dental aligners. At our office, we provide superior Invisalign aligners that are customized to fit your mouth. We employ cutting-edge technology, so your aligners will be comfortable and effective. Together with you, our dental team will develop a treatment plan that is tailored to your requirements. Our goal is to provide you with the beautiful, healthy smile you deserve.


























































